Improve Your Smile with All on X
Look no further than the All-on-X procedure offered by Dr. Julian Leichter at Boca Perio Implants!
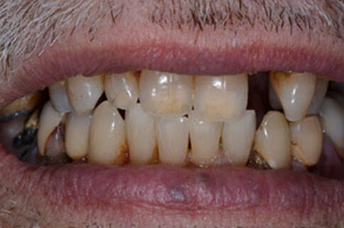
Looking for a permanent solution for your missing teeth that delivers natural-looking results and boosts your confidence?
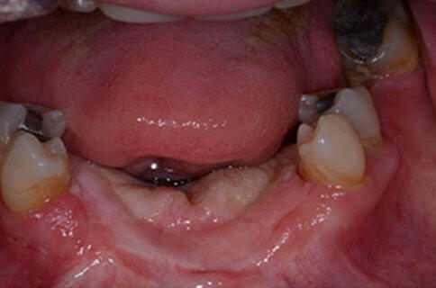
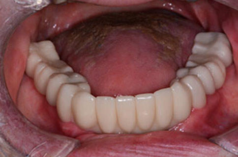
Look no further than the All-on-X procedure offered by Dr. Julian Leichter at Boca Perio Implants!With the All-on-X procedure, implants are placed into your jawbone and connected to prosthetic teeth that look and function like natural teeth, offering stability, comfort, and the ability to enjoy all of your favorite foods without difficulty. Dr. Leichter and his team ensure your comfort, safety, and care throughout the three-step process, which involves placing implants into the jaw, attaching abutments, and finally attaching custom prosthetics for natural-looking results.
Frequently asked questions
What are All on X dental implants?
The All-on-X procedure is a state-of-the-art dental implant technique used to replace multiple teeth. It involves the placement of strategically placed implants in the upper jaw or lower jaw. The implants act as anchors for a full set of artificial teeth that look and feel natural and secure.
How do I care for my All-on-X dental implants?
Caring for your All-on-X dental implants is easy! Simply brush two times a day with a soft-bristled toothbrush and use non-abrasive fluoride toothpaste. Also, regularly floss between each implant and adjacent teeth as you would any other tooth in your mouth. Additionally, you must visit your dentist every 6 months for routine exams and cleanings.
Are there any risks associated with All on X dental implants?
As with all procedures, there is a degree of risk, including potential nerve damage or postoperative infection. However, these risks are reduced when you work with a suitably qualified and experienced dental professional such as Dr. Julian Leichter, who has more than 30 years of experience.
What should I expect during my recovery from the All-on-X procedure?
During recovery, you can expect some swelling, bruising, and discomfort for the first few days after each procedure, and pain medication may be prescribed. You may need to avoid certain food and activities during your healing period. Also, remember that this procedure is a three-step process, and your overall recovery can take several months.
Experience and Expertise at Boca Perio Implants
★★★★★
Petra Britton
I am totally impressed by the office of Dr. Julian Leichter. The knowledge, service/treatment received, as well as the professionalism on display were outstanding. I highly recommend this dental clinic
★★★★★
jeannie carr
Always a good experience with Dr. Leichter, Cindy, Doreen, Pella and Max. Been coming here for years and wouldnt go anywhere else. Doreen does am excellent job cleaning my teeth/gums. They have found and treated different medical issues. Wouldn't trust my mouth/gums to anyone else
Are you tired of struggling with uncomfortable dentures or missing teeth?Don't let dental problems hold you back from living your best life. Turn to a true expert in dental implants - Dr. Julian C. Leichter. With over 30 years of experience in periodontics and oral medicine, Dr. Leichter has dedicated his career to developing cutting-edge techniques and dental implantology. His core team of professionals in Boca Raton offers all levels of sedation and anesthesia to ensure a comfortable, stress-free experience. Plus, with Dr. Leichter's patient-first philosophy, you can trust that he will explain all benefits and risks to you and encourage you to ask questions and seek additional opinions. Trust your smile to Dr. Leichter, the pioneer in dental implant technology.
Take the next step: Contact Us Today!
Whether you’re booking your first, or follow-up care appointment, we are excited to get you on our schedule!






